L’équipe du Docteur Guillaume Canaud a découvert en 2018 un médicament révolutionnaire contre le syndrome de Cloves. Cette maladie génétique rare entraîne un développement anarchique de certains organes. La Fondation soutient la recherche fondamentale de cette équipe pour découvrir les mécanismes qui sous-tendent cette affection.

Lutter contre le syndrome de Cloves

Le syndrome de Cloves est une pathologie très handicapante affectant les enfants dès le plus jeune âge. Elle est responsable d’une croissance excessive et dysharmonieuse de certains organes ou tissus. Les excroissances sont visibles ou non : malformations vasculaires, scoliose, déformations des reins ou du cerveau… Ce syndrome est une maladie génétique rare causée par une mutation dans un gène appelé PIK3CA. La mutation survient dans certains tissus au cours de l'embryogenèse et entraîne une grande variabilité dans l'expression de la maladie. Jusqu’à récemment, aucun traitement n’était disponible.

  • Immunofluorescence KI67 de tube digestif de souris porteuses de mutation gain de fonction du gène PIK3CA
    © Guillaume Canaud
  • Immunohistochimie KI67 de rate de souris porteuses de mutation gain de fonction du gène PIK3CA
    © Guillaume Canaud
  • Immunohistochimie F4/80 de malformation graisseuse chez une souris porteuse de mutation gain de fonction du gène PIK3CA
    © Guillaume Canaud
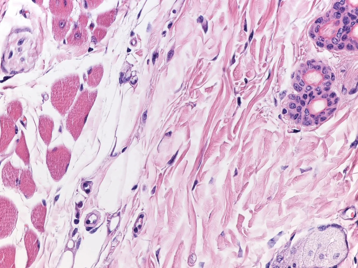
  • Coloration PAS (Periodic Acid Schiff) de malformation mixte musculaire, graisseuse et vasculaire de souris porteuses de mutation gain de fonction du gène PIK3CA
    © Guillaume Canaud

Le premier traitement mondial… et après ?

Guillaume Canaud et son équipe sont parvenus à mettre au point un premier traitement. Ces chercheurs de l’Institut Necker Enfants Malades ont découvert que le BYL719 est un inhibiteur de la protéine défectueuse PIK3CA. Cette molécule est parvenue à faire régresser les excroissances vasculaires chez dix-neuf patients. Malgré ces avancées thérapeutiques encourageantes, la compréhension de la maladie reste limitée. Les scientifiques doivent désormais mieux comprendre ses bases moléculaires et cellulaires.

Écouter le podcast
Des ailes aux talents

Jean-Baptiste Del Amo raconte Guillaume Canaud

  • Aoû 2023
  • 16 minutes

Le soutien de la Fondation

Avec le soutien de la Fondation Bettencourt Schueller, Guillaume Canaud a pu développer un nouveau programme de recherche fondamentale. Les scientifiques cherchent ainsi à identifier la nature exacte des tissus affectés par la maladie. Ils décryptent aussi la façon dont ces derniers influencent les tissus environnants, provoquant ce développement anarchique et propageant la maladie. Ces connaissances vont permettre d’identifier de nouvelles cibles thérapeutiques pour les patients résistant au traitement, mais aussi des biomarqueurs d’évolution de la maladie.

En savoir plus sur le soutien de la Fondation dans le domaine des sciences de la vie

La Fondation Bettencourt Schueller soutient et encourage les chercheurs qui contribuent au rayonnement de notre pays dans les sciences de la vie. Cet engagement est le premier de la Fondation depuis sa création en 1987. S’il est principalement orienté vers la recherche fondamentale, sa finalité est l’amélioration de la santé humaine.

Voir tous les projets dans le domaine des sciences de la vie