La plupart des maladies provoquent de subtiles perturbations du système immunitaire. Les méthodes d’imagerie médicale actuelles peinent à les déceler, faute de sensibilité suffisante. Pour contourner cette difficulté, Maxime Gauberti entend développer une nouvelle famille d'agents de contraste pour améliorer les performances de ces techniques. La stratégie explorée par le chercheur repose sur la synthèse de particules imitant les fonctionnalités de nos globules blancs.

Détecter les prémisses de la réponse immunitaire 

Lorsqu’une pathologie auto-immune ou un cancer nous affecte, notre corps déclenche naturellement une réponse immunitaire destinée à combattre la maladie. Repérer les premiers signes de cette réaction, comme la fixation des globules blancs sur la paroi interne des vaisseaux sanguins, pourrait permettre d’établir un diagnostic précoce de ces pathologies. Cette même approche pourrait aussi faciliter le suivi de la réponse du patient à un traitement donné. 

Pour parvenir à observer dans les moindres détails la réponse immunitaire de l’organisme, une des pistes envisagées est le développement de l'imagerie moléculaire ultrasensible. La démarche permettrait notamment de visualiser les mécanismes moléculaires normaux et pathologiques à l’intérieur des vaisseaux sanguins. Pour l’heure, les méthodes d'imagerie non invasives ne permettent pas encore de saisir toute la complexité de ces mécanismes dans le système vasculaire, car leur sensibilité demeure insuffisante.

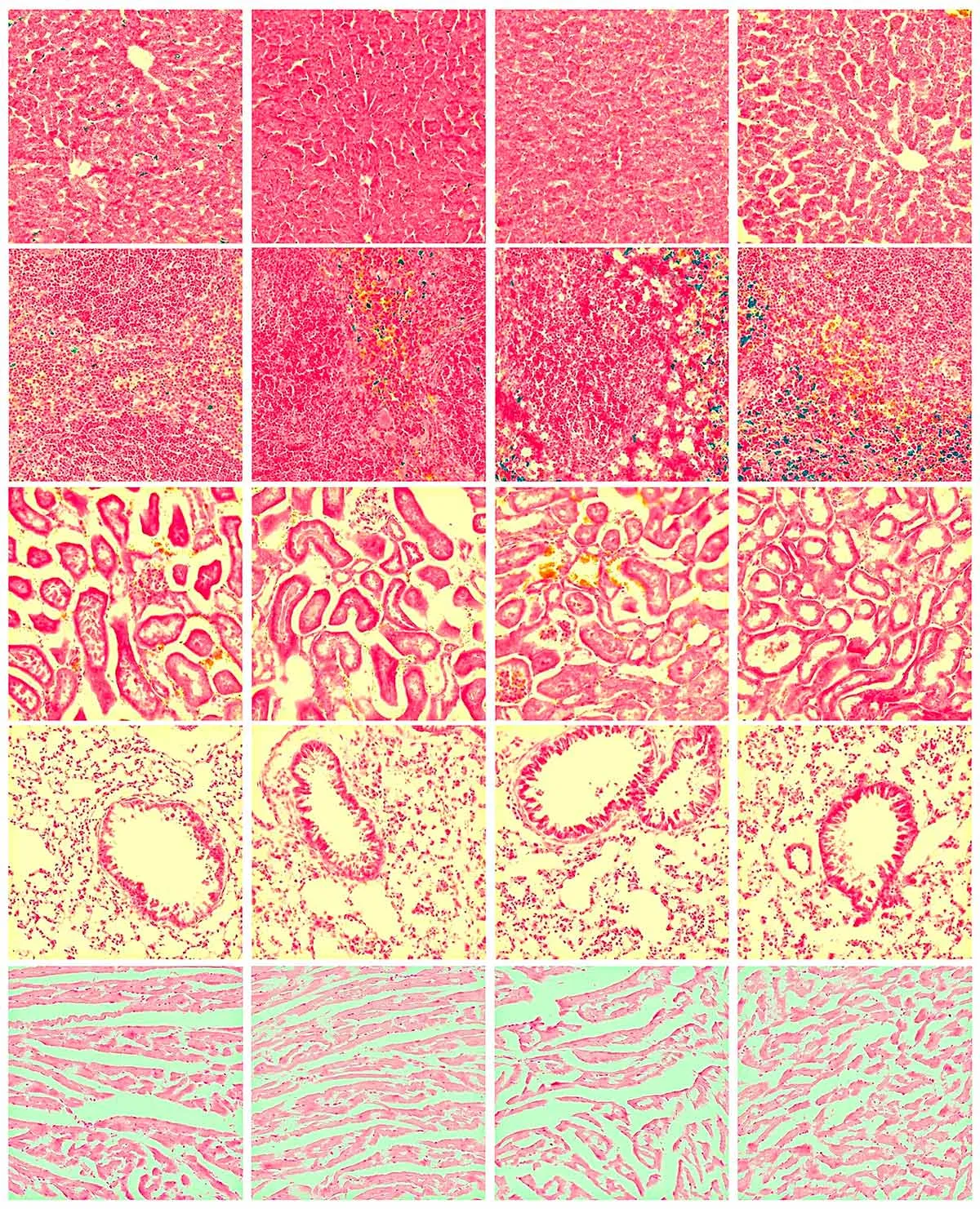
  • Images du foie, de la rate, des poumons et du coeur montrant l'intégrité des tissus après l'injection de particules magnétiques.
    © Equipe Maxime Gauberti, GIP Cyceron
  • Maxime Gauberti dans son laboratoire.
    © Alexandre Darmon / Art in Research pour la Fondation Bettencourt Schueller
  • Dans le laboratoire de Maxime Gauberti.
    © Alexandre Darmon / Art in Research pour la Fondation Bettencourt Schueller
  • Dans le laboratoire de Maxime Gauberti.
    © Alexandre Darmon / Art in Research pour la Fondation Bettencourt Schueller
  • Dans le laboratoire de Maxime Gauberti.
    © Alexandre Darmon / Art in Research pour la Fondation Bettencourt Schueller

Changer de paradigme pour accroître les performances de l’imagerie 

Pour avoir une résolution à l’échelle moléculaire, il est nécessaire d’injecter dans le corps des agents de contraste préalablement à l’acte d’imagerie. Les particules qui véhiculent ces agents doivent avoir une taille comprise entre dix et cinquante nanomètres, équivalent à la taille de certains virus, pour atteindre la paroi interne des vaisseaux sanguins et s’y accrocher, avant que le système immunitaire ne les détruise comme tout corps étranger. Maxime Gauberti propose de changer de paradigme. Il a créé des particules dites « submicroscopiques » d’un diamètre vingt à cinquante fois supérieur, soit dans un format similaire à celui des globules blancs. 

Ces nouvelles structures présentent de nombreux avantages. Elles sont capables de transporter jusqu’à 64 000 fois plus de produits de contraste qu'une particule de taille nanométrique, améliorant ainsi la sensibilité des techniques d’imagerie. Par ailleurs, une fois intégrées à la circulation sanguine, elles interagissent plus facilement avec la paroi des vaisseaux, augmentant leurs chances de s’y lier. Elles présentent enfin l’avantage d’être de taille trop importante pour traverser la paroi des vaisseaux. Elles ne peuvent donc pas s’accumuler dans des régions non désirées de l’organisme, ce qui tend à augmenter la spécificité de l'imagerie.

Maxime Gauberti | Impulscience 2024

Tester in vivo l'efficacité des particules prometteuses 

Avec Impulscience®, l’équipe de Maxime Gauberti compte façonner quatre types de particules submicrométriques permettant de cartographier la réponse immunitaire au sein d’un organisme vivant. Chaque particule sera constituée d’un matériel différent adapté à une technique d'imagerie donnée. 

Une première série d'investigations aura pour but d’optimiser la synthèse et le ciblage des différentes catégories de particules. Ces dispositifs seront ensuite testés dans des modèles murins exprimant diverses situations pathologiques. D’autres modèles serviront à évaluer si ces particules peuvent aider à prédire la réponse de l’organisme à l'immunothérapie en cas de cancer ou de maladie auto-immune. En renforçant les connaissances relatives à l’élaboration et au mode d’action de ces particules de grande taille, les travaux de Maxime Gauberti devraient contribuer à améliorer l'imagerie moléculaire en la dotant de nouveaux outils pour le diagnostic des maladies humaines.

Maxime Gauberti en quelques mots

Maxime Gauberti, est radiologue et pendant ses études de médecine il a un suivi un double cursus médecine-sciences à l’École de l’Inserm Liliane Bettencourt. Il a soutenu sa thèse de sciences sur les aspects moléculaires et cellulaires de la biologie en 2012. Tout au long de sa carrière de chercheur il s’intéresse aux pathologies neurovasculaires et au développement de l’imagerie moléculaire, qui permet de visualiser des événements moléculaires et cellulaires de manière non invasive. 

Dans la continuité de son parcours scientifique, il s’est spécialisé en neuroradiologie interventionnelle et diagnostique au CHU de Caen. Depuis 2020 il est Chef de clinique des universités - assistant des hôpitaux et partage son temps entre la recherche et la radiologie interventionnelle au CHU de Caen Normandie. Il est actuellement directeur adjoint de l'équipe "tPA et troubles neurovasculaires" dans l'unité Physiopathologie et imagerie des troubles neurologiques, au GIP Cyceron à Caen.

© Romain Redler / Art in Research pour la Fondation Bettencourt Schueller
  • 2007-2019 Double cursus médecine-sciences à l'École de l'Inserm Liliane Bettencourt

  • 2012 Thèse de sciences sur les aspects moléculaires et cellulaires de la biologie

  • 2020 CCA-Inserm-Bettencourt

  • 2024 Impulscience®

Programme Impulscience

Impulscience attribue chaque année 7 nouveaux soutiens à des chercheuses et chercheurs en sciences de la vie. Concentré sur le milieu de carrière, ce programme a pour objectif de soutenir cette étape cruciale pour le développement des projets de recherche. 

Tous les lauréats du prix

Appel à candidatures

L'appel à candidatures est ouvert du 7 avril 2026 au 21 mai 2026 pour les candidats ayant répondu aux appels à projet ERC Starting et Consolidator 2025 ; et jusqu'au 22 juin 2026 pour les candidats ayant répondu à l'appel à projet ERC Advanced 2025.

jours
heures
Déposer une candidature